Behandeling
Bleekbehandelingen

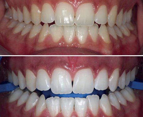
KG -Tandartsen is een Officieel BlancOne Bleekcentrum
Bij Tandartspraktijk Kockelbergh en Gibson in Emmeloord bieden we BlancOne bleekbehandelingen aan om uw glimlach witter en stralender te maken. BlancOne is een veilige en effectieve bleekmethode die wordt uitgevoerd onder toezicht van onze ervaren tandartsen.
Onze tandheelkundige zorg omvat onder andere:
Onze tandheelkundige zorg omvat onder andere:
Algemene tandheelkundeTandvleesproblemenplaatsen van kronen & bruggenTrekken van tand of kiesOverige Tandzorg
Over onsDigitaal afspraak maken
U kunt bij ons eenvoudig online een afspraak maken voor een halfjaarlijks consult- en/of controle afspraak. Ook kunt u hier uw consult- en/of controle afspraak verzetten. Behandelafspraken kunnen alleen telefonisch worden verzet.
Waarom kiezen voor BlancOne?
BlancOne maakt gebruik van een speciale gel met een gecontroleerde concentratie waterstofperoxide, geactiveerd met een geavanceerd LED-lichtsysteem. Dit helpt hardnekkige vlekken en verkleuringen te verminderen.
Op maat gemaakte behandeling
Elke behandeling wordt afgestemd op uw gebit en gewenste resultaten. Onze tandartsen beoordelen uw tanden zorgvuldig en stellen een passend behandelplan op.







Meer weten over tanden bleken?
Neem gerust contact op met Tandartspraktijk Kockelbergh en Gibson in Emmeloord voor meer informatie over onze BlancOne bleekbehandelingen of om een consult in te plannen. Ons team beantwoordt graag al uw vragen en helpt u op weg naar een stralend witte glimlach.
Bekijk de BlancOne uitlegvideo
Wilt u meer weten over de BlancOne bleekbehandeling? Bekijk dan het bijgaande YouTube-filmpje met de professionele whitening handleiding. Het toont stap voor stap hoe de behandeling wordt uitgevoerd, van het verwijderen van biofilm tot het activeren en verwijderen van de whitening gel.
Overige tandzorg behandelingen
Naast algemene tandheelkunde kunt u bij ons ook terecht voor specialistische tandzorg. Samen met collega tandartsen geven wij ook de volgende behandelingen:
Orthondie / Beugels
In samenwerking met orthodontist J.W.M. Schoonderbeek bieden we orthodontische behandelingen aan, waaronder beugels en andere apparaten om gebitsafwijkingen te corrigeren en een mooie, evenwichtige glimlach te bereiken.
Orthodontie Aligners
In samenwerking met orthodontist J.W.M. Schoonderbeek bieden we orthodontische behandelingen met transparante aligners. Deze vrijwel onzichtbare, uitneembare beugels verplaatsen uw tanden stap voor stap, zodat we gebitsafwijkingen comfortabel kunnen corrigeren en samen werken aan een mooie, evenwichtige glimlach.
Tandheelkunde
Onze tandprothetiekers zijn gespecialiseerd in het vervaardigen en plaatsen van protheses, zoals kunstgebitten, partiële protheses en implantaten, om ontbrekende tanden te vervangen en de functionaliteit en esthetiek van uw gebit te herstellen.
Implantologie
Wij bieden implantologische behandelingen als duurzame oplossing bij het ontbreken van tanden of kiezen. Natuurlijk aanvoelende vervangingen die comfort, functie en uitstraling herstellen.
Kinder tandheelkunde
Juist voor kinderen is een goede verzorging van de mond zeer belangrijk! Neem daarom uw kind vanaf 2 jaar mee naar de tandarts, zodat hij/zij kan wennen aan de praktijk. Zo leert uw kind spelenderwijs het belang van een gezond gebit.
